Як вибрати і не помилитися Стоматологічні клініки в Одесі
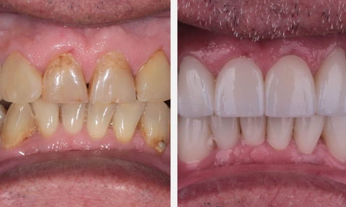
До вибору стоматологічної клініки слід поставитися з великою відповідальністю, адже нас цікавить питання не лише рівень сервісу, а й найважливіший фактор, який впливає на комфорт, здоров’я та впевненість у кінцевому результаті лікування. Одеса, велике місто та вибір стоматологічних клінік тут велике, починаючи з комплексних центрів і закінчуючи невеликими кабінетами. І якщо ви шукайте стоматологію де поєднуватимуться: індивідуальний підхід, сучасні технології та професійне обслуговування, то варто звернути увагу на клініку Platinum Dent в Одесі, яка орієнтована на найвищий рівень лікування та діагностики.

Ключові критерії вибору стоматології
При виборі стоматологічної клініки слід звернути увагу на такі параметри:
- Відгуки та репутація – найважливіший показник, з якого варто почати. Знайти відгуки пацієнтів можна в соціальних мережах або онлайн-сторінках клініки. Детальний аналіз відгуків допоможе сформувати об’єктивне уявлення;
- Професіоналізм команди – Кваліфікація лікарів також важливий фактор, який впливає на якість лікування. Дізнайтесь, чи є в клініці фахівці з досвідом та ліцензіями. Це дуже важливо, особливо якщо потрібне складне лікування;
- Сучасні технології – наявність сучасного обладнання, це не престиж, а гарантія безпеки та якості процедур;
- Безпека та гігієна – Критично важливий аспект вибору. Ризик інфекцій та інших ускладнень безпосередньо пов’язаний із тим, наскільки суворо дотримуються санітарні протоколи;
- Комплекс послуг – Найкращим вибором буде та клініка, де можуть запропонувати повний спектр послуг. Це особливо зручно у випадках, коли потрібні додаткові процедури.
Головне пам’ятайте, не варто звертати увагу на сумнівні відгуки та яскраву рекламу, орієнтуйтесь на об’єктивні критерії вибору.

Чому комунікації та зручність такі важливі
Окрім кваліфікаційних показників слід враховувати й організаційні моменти:
- Екстрена допомога та графік роботи – Варіант запису 24/7. А також важливий фактор – оперативна допомога при гострому болю;
- Зрозуміле спілкування – лікар повинен чітко пояснити: діагноз, варіанти лікування та прогноз;
- Прозорість цін – перед тим як розпочати лікування слід уточнити: вартість консультації, діагностики, лікування та варіанти оплати.
При виборі стоматології в Одесі корисно скласти власний чек-лист із цих критеріїв. Він допоможе провести порівняльний аналіз та прийняти правильне рішення. Однією з таких клінік, яка відповідає всім ключовим аспектам, є Platinum Dent в Одесі, де поєднуються – професіоналізм, комплексний підхід та сучасні технології.

